A Comfortable Approach to Colon Screening

Colon health is something many people put off because they worry about discomfort or invasive testing. At Life Guard Imaging in Phoenix, AZ, our virtual colonoscopy gives you a clear and detailed view of your colon with far less stress. This advanced CT screening helps detect polyps and potential masses early, long before symptoms start. It is simple, comfortable, and easy to fit into your day. If you want a reliable alternative to a traditional colonoscopy, call
602-755-5004 to schedule your screening today.


A More Thorough, Less Invasive Alternative
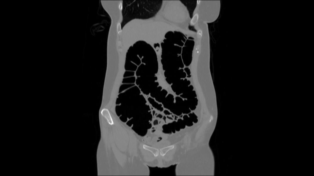
- Virtual colonoscopy uses CT scanning to obtain an interior view of the colon.
- Minimally invasive.
- No anesthesia. Drive yourself to and from your appointment.
- Detects polyps and potential masses
Why Virtual Colonoscopy Is a Safer and More Effective Screening Method
Virtual colonoscopies (CT colonoscopies) are an excellent alternative to conventional colonoscopies.
Virtual colonoscopies are a more thorough, less invasive form of the traditional colonoscopy because there’s only a 2.5″ insertion. The danger of tearing or perforating the colon walls is removed, and because it’s minimally invasive, there’s no need for anesthesia, eliminating another potential risk.
The images produced from our scans are reviewed by a board-certified radiologist, and a report is created for our patients to share with their physicians.
Protect your long-term health and call 602-755-5004 to schedule your scan with Life Guard Imaging.
