See the Whole Picture With Full Body Imaging

Your health changes every day, even when you feel fine. That is why early detection matters so much. At Life Guard Imaging in Phoenix, AZ, our full body scan services help you see what is happening inside your body long before symptoms appear. We use advanced CT technology to screen for hidden risks, while also offering Bone Density Testing, Body Fat Assessment, and Auto Chamber Cardiac Volumetry for a more complete health picture. If you want a simple way to stay ahead of silent conditions, call our team at
602-755-5004 to schedule your scan today.

A Full Body Scan That Detects Risks Before They Grow
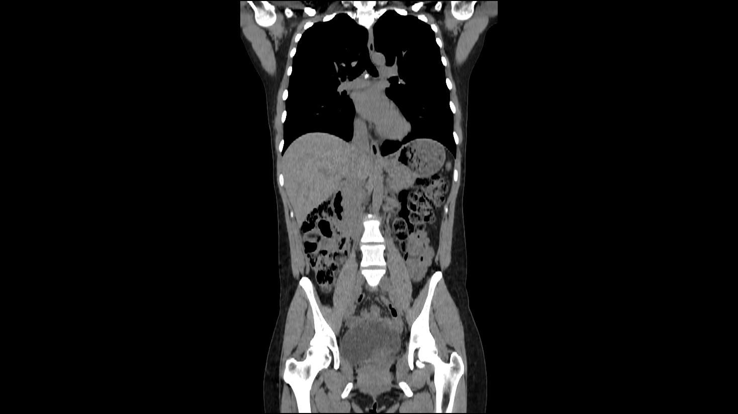
A full body scan gives you a fast view of your chest, abdomen, and pelvis. This early look helps detect tumors, cysts, stones, and other silent problems that may grow without warning. Many of these concerns do not cause pain or symptoms for months or even years. That is why so many people choose full-body imaging as a preventive step in their long-term wellness plan.
With detailed CT images, your scan can reveal issues that most routine exams cannot find. This allows you to understand your health clearly and gives you more time to talk with your provider about the next steps. It also provides peace of mind when your scans show that everything looks stable.
Bone Density Testing for Strong and Healthy Bones
Bone density testing helps you understand your risk for osteoporosis and fractures. As we age, bone strength can drop faster than we realize. Many people do not feel changes in their bones until a break occurs. A bone density scan gives you a safe and simple way to learn if your bones need more support.
This test measures how much measures the health and density of your bones. It also compares your scores to standard levels for your age and gender. Because weak bones increase the risk of serious injury, early detection helps you protect your long-term mobility and independence.
Body Fat Assessment for Metabolic Health
A body fat assessment measures your total body fat and your visceral fat. Visceral fat is the deeper fat around your organs. It is more dangerous than the fat you see on your skin. High levels can raise the risk of diabetes, heart disease, inflammation, and hormonal issues.
This service is helpful for people who want to track weight loss, improve fitness, or manage long-term health. Since many people have hidden fat levels they cannot feel or see, this early insight helps guide healthier choices and more personalized care.
Auto Chamber Cardiac Volumetry for Early Heart Detection
Auto Chamber Cardiac Volumetry is an AI-driven analysis of cardiac chamber volumes—including the left atrium (LA), left ventricle (LV), right atrium (RA), and right ventricle (RV) provides actionable insights into heart failure and atrial fibrillation risk. Enlarged LA volume strongly predicts AF and stroke, while LV hypertrophy correlates with HF and coronary artery disease. These concerns often begin years before symptoms appear.
This service is especially important when calcium scores look normal. Many people think a normal calcium result means their heart is safe. Yet some heart issues come from structural changes rather than plaque alone. Volumetry can catch these hidden risks early and help your provider plan the right follow-up steps.
Why These Four Services Work So Well Together
Your body works as a system. That is why seeing multiple areas at once gives you a more complete view of your health. Full body scans detect structural and organ changes. Bone density testing reveals the strength of your bones. Body fat assessment shows metabolic risks. Auto Chamber Cardiac Volumetry highlights silent heart issues. When combined, these services offer a clear and deep understanding of your health journey.
Early knowledge gives you the chance to protect yourself, make informed choices, and stay ahead of the conditions that impact so many lives. That is the power of preventive imaging.

Common Questions About Full Body and Preventive Scans
How often should I get these scans?
Most people benefit from yearly evaluations. This allows you to track changes and catch new concerns early.
Are these scans safe?
Yes. These scans use low radiation, safe equipment, and trusted protocols. Our team follows strict safety standards for every scan.
Who benefits most from these services?
Anyone wanting early detection can benefit. They are especially helpful for people with a family history of disease, past health concerns, or lifestyle risks.
Do I need a referral?
Contact Us NowNo. You can schedule directly with our office.
Take the next step toward better wellness by calling 602-755-5004 to schedule your visit at Life Guard Imaging.
